ホーム
home
ごあいさつ
greeting
医院紹介
clinic
診療時間・アクセス
スタッフ紹介
院内紹介
設備紹介
はじめての方へ
感染対策の徹底
採用情報
キャンセルポリシー
診療案内
treatment menu
診療内容
虫歯治療
予防歯科
小児歯科
インプラント
審美・セラミック
根管治療
矯正歯科
ホワイトニング
入れ歯
親知らずの抜歯
顎関節症
費用一覧
医療費控除
よくある症状
治療後に噛むとズキズキ痛い
前歯が少し欠けた・前歯の隙間があいてきた
歯がボロボロで恥ずかしい方へ
当院の特徴
feature
メディア
HOME
>
メディア
>
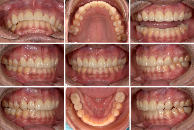
tattered_teeth_case0…
2024.11.07
tattered_teeth_case02_after
歯科ホームページ制作
奈良市東登美ヶ丘の歯医者©登美ヶ丘木原歯科医院